- Wracam z ciężkiego 48- godzinnego dyżuru w oddziale COVID w Szpitalu Tymczasowym w Szczytnie. Hospitalizujemy łącznie 87 chorych – poinformował na profilu Facebook Szpitala Powiatowego w Szczytnie Dominik Górski, lekarz i zastępca dyrektora placówki do spraw lecznictwa. - Na dyżurze przez 48 godzin przyjęliśmy 22 pacjentów objawowych z potwierdzonym zakażeniem wirusem SARS-CoV-2.
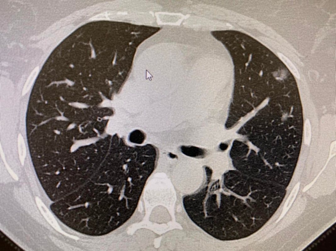
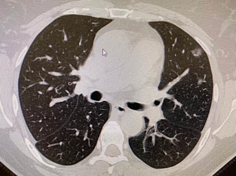
Dziewięciu było zaszczepionych. Na moją szczególną uwagę zwróciło jedno podwójne przyjęcie. 50 letni ojciec z 30 letnim synem mieszkający w jednym gospodarstwie domowym. Ojciec zaszczepiony dwiema dawkami szczepionki, syn nie został zaszczepiony. W TK klatki piersiowej. 50-letni Pacjent po szczepieniu - zmiany w płucach 1%, 30-letni syn bez szczepienia - zmiany w płucach 50%. Jest to jeden z wielu przykładów pokazujący, że szczepienia są ważne i należy się szczepić.

1 zdjęcie: 1% zajętych płuc.

2 zdjęcie: 50% zajętych płuc.
lek. Dominik Górski, z-ca Dyrektora ds. lecznictwa.
Kazik straciłeś w moich oczach po ostatnim wywiadzie i nie tylko w moich. Żyj sobie dalej w Hiszpanii. Mniejsze zło...? Zabawne.
Na starość zwariował
2026-04-26 13:06:22
Poziom zarządzania systemem PODSTAWOWEJ opieki zdrowotnej sięgnął dna! Starosta nie zapewnia mieszkańcom najważniejszej potrzeby. Nie ma kasy na dyżur apteki, ale jest na podwyżki wynagrodzeń. Folwark zwierzęcy Orwella! Niesamowicie pomocni sobie, nie ludziom!
Ja
2026-04-25 22:31:24
Zdzisław Zioło niekompetentny juror wg mnie. Nieprzygotowany do oceniania młodych, nie potrafi dobrać słów w ocenie, raniąc delikatne, wrażliwe osoby.
Ja
2026-04-25 19:57:51
Emil i Mieszkaniec mają rację, jeszcze nikt nie poznał zasad działania zakładu a już wielki krzyk się robi! Taki zakład to rozwój miejscowości i niezależności młodych mieszkańców .
Olo
2026-04-25 08:52:04
A może by tak napisać w końcu artykuł o zwolnieniach w Ikei? No tak...to nie pasuje do tych artykułów o ciągłych sukcesach tutejszych władz...jak to by wyglądało.
Tytus
2026-04-25 07:54:17
No I super
Joanna
2026-04-24 06:28:34
Pamiętam pierwszą edycję, Pani Agata też wówczas była jurorem. To wspaniała inicjatywa, która zapoczątkowała Pani Ewa Przychodzka, cudowna nauczycielka!
M
2026-04-23 22:24:49
Pan Tomasz jako nieliczny zabiera głos na sesji. W większości rada to słupy,bez własnego zdania. Przez dwa lata nie zabierają głosu w dyskusji.
Wyborca
2026-04-23 20:15:43
no to auto na wizualizacji wjeżdża w płot. Jakie to premium?
j23
2026-04-23 13:02:35
A ten policjant to jakoś się nazywa?
Zły Porucznik
2026-04-23 08:45:41